SETEMBRO VERMELHO
Você já ouviu falar sobre Outubro Rosa, não é? E sobre “Setembro Vermelho”?
Com a intenção de conscientizar os tutores, o mês de setembro foi escolhido para alertar e prevenir sobre as doenças cardíacas que acometem cães e gatos.
Para quem não sabia, os animais também podem sofrer de alterações no coração e isso pode trazer consequências para a qualidade de vida deles, principalmente se diagnosticadas tardiamente.
A Medicina Veterinária moderna conta com a especialidade da cardiologista, que é a profissional melhor capacitada para avaliar, orientar e medicar o paciente sob o ponto de vista do coração.
Aliados ao histórico e a um bom exame físico, que engloba a ausculta, presença de inchaços nos membros, coloração das mucosas e língua, os exames complementares, como ecodopplercardiograma e eletrocardiograma são partes essenciais para uma avaliação cardíaca completa.
Quer saber mais sobre o assunto? No próximo pos, falaremos sobre os exames de coração mais comuns na rotina da clínica veterinária.
EXAMES DE AVALIAÇÃO CARDÍACA
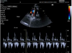
Na Medicina Veterinária, utilizamos muito dois tipos de exames complementares para avaliação do coração: ecodopplercardiograma e eletrocardiograma.
O exame ecocardiograma com doppler é um ultrassom do coração, onde a vet avalia o órgão internamente, seus vasos e o fluxo sanguíneo que entra e sai do coração.
Através de ângulos (chamados tecnicamente de “cortes”) feitos com o transdutor (aparelho de ultrassom que recebe aquele gelzinho geladinho na ponta), os átrios, ventrículos, paredes, artérias, veias e valvas são examinadas sob o aspecto anatômico e funcional.
É isso que vai dizer pra gente se o coração tá funcionando legal ou se tem alguma anormalidade que precise ser acompanhada.
As cores azuis e vermelhas revelam o fluxo de sangue (o que está entrando e o que está saindo, a direção, se está havendo escape, retorno, entre outros detalhes).
O som forte, que remete ao batimento cardíaco, é do fluxo dentro da artéria.
Já o eletrocardiograma, avalia o coração quanto a sua função elétrica, as famosas “ondas cardíacas”. É ele quem analisa o ritmo do coração, se bate normalmente ou se não há um ritmo determinado, o que chamamos de “arritmia cardíaca”.

No eletro, a folha quadriculada tem sua função: ela auxilia o Médico a medir o tamanho das ondas e, desta forma, a identificar as anormalidades.
As arritmias são uma das causas responsáveis pelos desmaios, síncopes e convulsões.
Complexo, né? Mas é lindo de se ver e estes são os exames que vão auxiliar o médico a determinar se o animal está em boas condições cardíacas, sempre junto ao exame fisico e histórico do paciente para a melhor decisão de protocolo e acompanhamento da sua saúde.



